Sean P. Drower, DMD PC

Implant placement and restoration

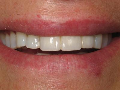
I placed two implants for this patient to replace a failed bridge on her front teeth. The final result restored her smile with the confidence that the teeth were not going anywhere!

Related Services:

Implant Dentistry
Getting an appointment is fast and easy!
If you have difficulty using our website, please email us or call us at (603) 357-0230
Disclaimer: The information throughout this site is not intended to be taken as medical advice.
Privacy Policy