Sean P. Drower, DMD PC

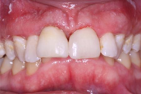
Space closure between front teeth with “bonding”.

This patient was unhappy with the appearance of the gap between his teeth. One hour later, the space is closed by adding composite filling material (bonding), and the patient left happy!
Improve your smile today – call to schedule a consultation!
If you have difficulty using our website, please email us or call us at (603) 357-0230
Disclaimer: The information throughout this site is not intended to be taken as medical advice.